カテゴリー:
審美治療虫歯治療
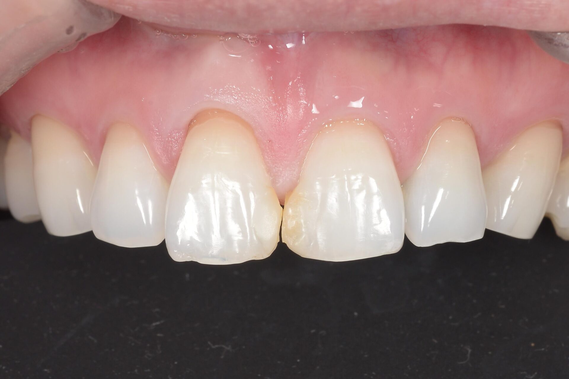
前歯の色が気になる。前歯の詰め物のやり直しダイレクトボンディング

Before

After
| 年齢 | 50台 |
|---|---|
| 性別 | 女性 |
| 治療期間 | 3回 |
| 治療方法 | ダイレクトボンディング |
| 治療費用 | 321,200円(税込み) |
審美治療
色が気になる歯の詰め物のやりなおし、ダイレクトボンディング

Before

After
| 年齢 | 40代 |
|---|---|
| 性別 | 男性 |
| 治療期間 | 2ヶ月 |
| 治療方法 | ダイレクトボンディング治療 |
| 治療費用 | 約40万円 |
根管治療
大きな病変が出来ている大臼歯の根管治療

Before

After
| 年齢 | 58歳 |
|---|---|
| 性別 | 女性 |
| 治療期間 | 約3カ月(冠除去~根管治療治療3回、その他3回) |
| 治療方法 | マイクロスコープを使用した根管治療、レジン築造、e-maxクラウン |
| 治療費用 | 約40万 |
審美治療
合っていない部分的な銀歯(インレー)と虫歯がある歯を部分的なセラミックへ

Before

After
| 年齢 | 70代 |
|---|---|
| 性別 | 男性 |
| 治療期間 | 1か月(3回) |
| 治療方法 | 保険の銀歯を外し、セラミックの部分的な冠(オーバーレイ)を作りセットしました。 |
| 治療費用 | 168300円(税込み) |
審美治療
被せ物をしている歯の間が詰まる。銀歯をセラミックへ

Before

After
| 年齢 | 70代 |
|---|---|
| 性別 | 男性 |
| 治療期間 | 1か月(3回) |
| 治療方法 | 保険の銀歯を外し、セラミックの部分的な冠(オーバーレイ)を作りセットしました。 |
| 治療費用 | 168300円(税込み) |
審美治療
前歯の詰め物が気になる。被せ物の色が気になる人へ

Before

After
| 年齢 | 20代 |
|---|---|
| 性別 | 女性 |
| 治療期間 | 約4ヶ月 |
| 治療方法 | 右上2番根管治療および、オールセラミッククラウン、左右1番ラミネートべニア |
| 治療費用 | 右上2番根管治療~オールセラミッククラウン約40万、左右ラミネートべニア約17万×2 |
歯周病
あなたも実は歯周病かも?歯周病の治療で歯茎はこんなに変わる

Before

After
| 年齢 | 40代 |
|---|---|
| 性別 | 女性 |
| 治療期間 | 約半年 |
| 治療方法 | マイクロスコープを使用した歯周病治療 |
| 治療費用 | 保険の範囲内 |
審美治療虫歯治療
銀歯の下に虫歯が…部分的な銀歯を外してダイレクトボンディング治療

Before

After
| 年齢 | 50代 |
|---|---|
| 性別 | 女性 |
| 治療期間 | 1回 |
| 治療方法 | ダイレクトボンディング |
| 治療費用 | 91300円(税込み) |
執筆者情報

院長/歯科医師・博士(歯学)
辻󠄀本 真規
Masaki Tsujimoto
【略歴】
- 2008年
- 日本大学松戸歯学部卒業 日本大学松戸歯学部附属病院 研修医
- 2009年
- 長崎大学大学院医歯薬学総合研究科
齲蝕学分野入学 - 2009年~2013年
- 開業医勤務
- 2013年
- 日本顕微鏡歯科学会 認定医取得
長崎大学大学院医歯薬学総合研究科修了
博士(歯学)取得 - 2013年~2018年
- 長崎大学大学院
医歯薬学総合研究科齲蝕学分野助教 - 2016年~
- 日本顕微鏡歯科学会代議員
- 2017年
- 日本顕微鏡歯科学会認定指導医取得
デンツプライシロナ エンド公認インストラクター - 2018年
- 辻󠄀本デンタルオフィス開業
【受賞歴】
- 2015年
- 日本歯内療法学会関東甲信越静支部 第9回ウィンターセミナー鈴木賢策賞受賞
第12回日本顕微鏡歯科学会学術大会 大会長賞受賞 - 2023年
- 日本顕微鏡歯科学会学術大会優秀ポスター賞受賞
開業歯科クリニックでの勤務や大学での研究を経て、
長崎大学の齲蝕学分野助教となり、根管治療の難症例などの治療にあたる。
2018年に「辻󠄀本デンタルオフィス」を開業。
マイクロスコープを用いた精密な根管治療を得意とし、難症例にも多く対応している。
歯科医師向けの様々なセミナーの講師を務めるほか、歯科関連の雑誌や書籍の執筆等精力的に取り組んでいる。
Tel.092-791-2223
初診Web予約- ※予約後、医院より確認のお電話を致します。
-
- ご予約の際は、ご連絡がつながる番号を必ず記載ください。
- 医院よりお電話でご連絡させて頂いた後、ご確認が取れ次第で予約完了となります。
- 3日前までにこちらからの電話連絡が付かない場合、予約をキャンセルとさせていただきます。
- 当院は以下の地域から幅広く、
ご来院頂いております。
福岡県、長崎県、佐賀県、熊本県、鹿児島県、
山口県、東京都、福井県、大分県
