カテゴリー:
タグ:
コンポジットレジン・ダイレクトボンディングすきっ歯ラバーダム防湿歯の着色・ホワイトニング福岡・大濠公園・歯医者
こんにちは。
辻本デンタルオフィス院長の辻本です。
最近は日中暖かい日も多くなり、梅の花も咲いて、少しずつ冬から春への季節の変化を感じるようになってきました。
4月から新しい生活が始まる方も多いのではないでしょうか。
新生活を迎える前には
-
新しい服を買う
-
髪型を変える
-
家具を新しくする
といった準備をされる方も多いと思います。
では、お口の中の準備はできていますか?
今回は 前歯の審美修復治療についてお話しします。
前歯は第一印象を左右する歯
前歯の中でも最も中央にある2本の歯を 中切歯(ちゅうせっし) といいます。
前歯は会話や笑顔のときに最も目に入りやすい歯です。
そのため
-
前歯が欠けている
-
色が暗い
-
左右の長さが違う
といった状態があると
「うまく笑えない」
「人の目線が気になる」
といった悩みにつながることがあります。
前歯の審美性では 左右の対称性や歯の長さのバランス がとても重要です。
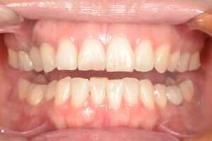
今回の症例です
前歯のところが虫歯じゃないかと気になる患者さん

前歯をみると左右の前歯の長さが違います

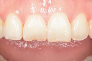
拡大して見ると右上の1番目の歯は少し欠けているような感じもして、先端の色が少しくらいです。その横の歯も少し先端が暗い感じがします

裏側から見てみると、1番目の歯には詰め物がしてあり、その下が少し虫歯、2番目の歯は歯が少し溶けていて、そこも少し虫歯になっています

バックを黒にするとよくわかります

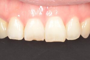
さて、治療をしていくことになりました。古い詰め物、虫歯を取るとこんな感じに

そこにダイレクトボンディング(歯のつめもの)をしていきます。左右の歯の長さの差が少し縮まるように先端の長さも少し変えていきます

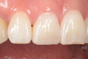
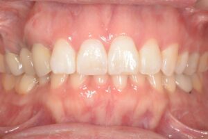
治療後の状態

先端の黒っぽかったところがなくなり、きれいになっています

ビフォー アフター
ビフォーに比べて前歯の長さが長くなっているのが分かると思います

全体的に見ると前歯の先端のバランスが以前に比べて整っているのが分かります
前歯が変わると印象が変わる
前歯の見た目が整うことで
-
笑顔に自信が持てる
-
口元の印象が良くなる
-
人前で自然に笑える
といった変化を感じる方も多くいらっしゃいます。
前歯の形や色が気になる方は、一度歯科医院で相談してみることをおすすめします。
前歯の審美治療をご検討の方へ
当院ではマイクロスコープとラバーダム防湿を用いた精密ダイレクトボンディングを行っています。
歯の状態やご希望に応じて、できるだけ歯を削らない審美治療をご提案しています。
前歯の審美修復についてはこちら↓
福岡市中央区で審美治療・メタルフリー治療なら大濠公園にある辻本デンタルオフィスへ
また、新生活に合わせて ホワイトニング を行うのもおすすめです。
よくある質問(FAQ)
前歯が少し欠けた場合でも治療できますか?
軽度の欠けであればダイレクトボンディングで修復できることがあります。
前歯の詰め物が変色してきました。やり直しできますか?
古いコンポジットレジンは経年で変色することがあります。再修復により改善できる場合があります。
前歯の審美治療は1回で終わりますか?
症例によりますが、ダイレクトボンディングの場合は1回で完了することも多いです。
まとめ
✔ 前歯は顔の印象を大きく左右する歯
✔ 欠けや虫歯は審美修復で改善できる場合がある
✔ ダイレクトボンディングは歯を削る量が少ない治療
前歯が気になっている方は、早めの相談をおすすめします。
監修
辻本デンタルオフィス
辻本 真規
歯科医師・博士(歯学)
所属学会
日本顕微鏡歯科学会
日本歯科保存学会
日本歯内療法学会
日本臨床歯周病学会
日本顕微鏡歯科学会
認定医・認定指導医・評議員・理事
日本大学松戸歯学部
保存修復学講座 非常勤講師
著書
単著
ラバーダム防湿パーフェクトテクニック
ミラーテクニックAtoZ
マイクロスコープパーフェクトテクニック
ラバーダム防湿パーフェクトテクニック2ndエディション
オーバーレイ修復超入門
共著
多数
執筆者情報

院長/歯科医師・博士(歯学)
【略歴】
- 2008年
- 日本大学松戸歯学部卒業 日本大学松戸歯学部附属病院 研修医
- 2009年
- 長崎大学大学院医歯薬学総合研究科
齲蝕学分野入学 - 2009年~2013年
- 開業医勤務
- 2013年
- 日本顕微鏡歯科学会 認定医取得
長崎大学大学院医歯薬学総合研究科修了
博士(歯学)取得 - 2013年~2018年
- 長崎大学大学院
医歯薬学総合研究科齲蝕学分野助教 - 2016年~
- 日本顕微鏡歯科学会代議員
- 2017年
- 日本顕微鏡歯科学会認定指導医取得
デンツプライシロナ エンド公認インストラクター - 2018年
- 辻󠄀本デンタルオフィス開業
【受賞歴】
- 2015年
- 日本歯内療法学会関東甲信越静支部 第9回ウィンターセミナー鈴木賢策賞受賞
第12回日本顕微鏡歯科学会学術大会 大会長賞受賞 - 2023年
- 日本顕微鏡歯科学会学術大会優秀ポスター賞受賞
開業歯科クリニックでの勤務や大学での研究を経て、
長崎大学の齲蝕学分野助教となり、根管治療の難症例などの治療にあたる。
2018年に「辻󠄀本デンタルオフィス」を開業。
マイクロスコープを用いた精密な根管治療を得意とし、難症例にも多く対応している。
歯科医師向けの様々なセミナーの講師を務めるほか、歯科関連の雑誌や書籍の執筆等精力的に取り組んでいる。
初診Web予約- ※予約後、医院より確認のお電話を致します。
-
- ご予約の際は、ご連絡がつながる番号を必ず記載ください。
- 医院よりお電話でご連絡させて頂いた後、ご確認が取れ次第で予約完了となります。
- 3日前までにこちらからの電話連絡が付かない場合、予約をキャンセルとさせていただきます。
- 当院は以下の地域から幅広く、
ご来院頂いております。
福岡県、長崎県、佐賀県、熊本県、鹿児島県、
山口県、東京都、福井県、大分県
